Gum Disease
When you treat gum disease early, you can actually reverse your condition.
Even if it has advanced, you can still protect your smile from further gum recession or even tooth loss.
Protect your oral health with help from Dr. Matthew D. Holley and Dr. Julie Sheffield at Holley Dental Group in Prattville, AL.
Understanding the Stages of Gum Disease

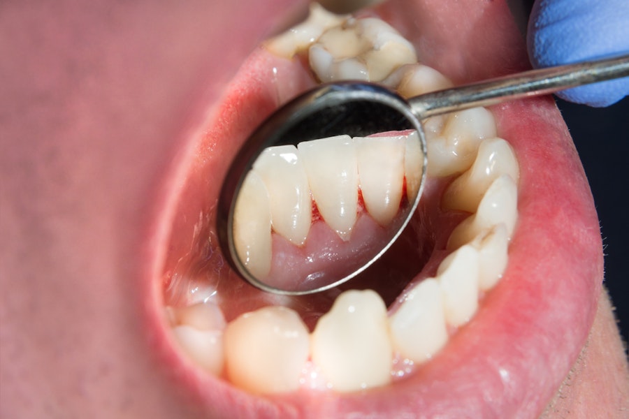
Gingivitis
Gum disease is an incredibly common periodontal condition. It begins in a milder stage called gingivitis. Symptoms may include bad breath, inflamed gums, or excessive bleeding. If you have gingivitis, you can reverse it with regular brushing, flossing, and dental care from our team.

Periodontitis
Periodontitis can have a permanent impact on your smile. This condition cannot be reversed — only managed. It can compromise your oral health and function. It may cause your gums to pull away from your teeth or recess. Periodontitis can also lead to bone and tooth loss.
Why Should I Seek Gum Disease Treatment?
If you have periodontal disease, our Prattville dentists can help. We encourage patients to seek periodontal treatment for three reasons:
You Can't Fully Treat Periodontal Disease at Home
Patients can manage or prevent gum disease with good at-home care like flossing and brushing. However, they cannot remove tartar; only our dentists can. We can also offer targeted periodontal care, like scaling and root planing.
You Can Still Reverse Gingivitis
Patients can actually reverse gingivitis with a combination of at-home and in-office care. Seeking treatment early on can prevent you from a lifetime of maintenance, stress, and additional dental procedures.
You Can Save Money Long-Term
If you have compromised oral health, you'll need more treatments, like crowns and bridges, which can easily add up over time. Not all of them will be eligible for insurance coverage either, such as dental implants.
Find the care you need at our Prattville dentistry office. You can contact us or call:
(334) 358-4848
“5 stars isn’t enough!”
It had been a while since being at the dentist…The service was amazing. The staff were so friendly. I didn’t have too much anxiety. The dental hygienist was so friendly and great at her job! We laughed and got to know each other! I love my new dentist office! And I’m looking forward to not having dental anxiety anymore! What a relief!!
View on GoogleMan, I’ve gotta be honest here…5 stars isn’t enough!! This place is top notch from top to bottom! The staff, the office, etc. the service is like ChickFila and a dental place had a baby and Holley was born lol
View on GoogleGum Disease Treatment Is Well Worth the Cost
It's important to invest in your oral health. The money you spend now can mean reduced costs for years to come.
The price of regular cleanings and scaling and root planing is also more affordable than other procedures, like tooth extraction, bone grafting, and dental implants. And, treatment is more likely eligible for insurance. Lastly, periodontal care can protect the health of your teeth and bone, as well as the health of your gums.

How Does Gum Disease Start?
This condition is caused by plaque buildup between your teeth and gums.
Over time, gum disease can transition from reversible gingivitis to periodontitis, which needs lifelong maintenance.
Fight Against Periodontal Disease
With Regular Scaling and Root Planing
Think of scaling and root planing as a deeper version of a regular cleaning. It allows our dentists to remove plaque from the tip of your tooth to the roots.
To do so, they will safely clean plaque and tarter away from the pockets between your teeth and gums. They will then smooth the tooth roots, so that your gum tissue can reattach to your teeth over the next couple of weeks. Typically, we will need to repeat these treatments multiple times a year, addressing different quadrants of your mouth at a time.
What Other Procedures Do You Offer?

From bad breath, to gum irritation, to even tooth loss, the symptoms of gingivitis and periodontitis mean that you need dental care. Our Prattville office can provide several periodontal and bone health treatments based on your needs, including:
Soft Tissue Grafts
Soft tissue grafting has two functions. First, it can be cosmetic, refreshing the appearance of your gums. Second, it can replace tissue lost due to periodontal disease.
Crown Lengthening
When gums pull away from your teeth, it can be hard to floss properly. This encourages more plaque and tartar to form. Crown lengthening addresses the problem, allowing our dentists to remove a small degree of gum tissue.
Bone Grafting
We offer several types of bone grafting, like bone regeneration and ridge preservation. They allow us to build back areas of bone loss. If you've lost teeth due to gum disease, grafting can make you eligible for dental implants.
Your Periodontal Care Is a Team Effort
Brushing and flossing acts as a frontline defense against periodontal disease. It can prevent bacteria from forming, so that you don't have to deal with troublesome plaque or tartar in the future. We'll give you at-home care tips, so that you can do your part to manage or reverse your condition.
Prattville, AL, Patients Feel Comfortable With Our Team
I have the worst anxiety about dentist. They are wonderful with me, the last visit they were able to do my cleaning without the gas , which NEVER happens! The entire staff is very friendly, I highly recommend them! Big shout out to Kim for being so calm with me while she does the cleaning with the anxiety! You ROCK girl!
View on Google
I have some dentist anxiety which unfortunately made me not go to the dentist for a very long time. I was scared hat once I finally went that I would be shamed for not coming sooner. The staff here are it so easy. The receptionists were so friendly and welcoming, and the office was very cozy. My hygienist was amazing and she was so gentle and patient with me. I would recommend anyone to go to them.
View on Google

